Zertifiziert durch die Universität Cambridge zur Durchführung der BOAS-Untersuchung mittels Respiratory Functional Grading Scheme (RFGS)
Erweiterung des Naseneinganges mittels der Vestibuloplasty nach Prof. Oechtering, Leipzig
LATE (laser assisted turbinectomie) Entfernung eines Teils der Nasenmuscheln, um die Atmung zu verbessern, nach Prof. Oechtering, Leipzig
Erweiterung des Naseneinganges bei der Katze durch eine Hautverschiebeplastik (single pedicle advancement flap)
Einsetzen eines Stent zur Offenhaltung der Atemwege bei Larynxkollaps
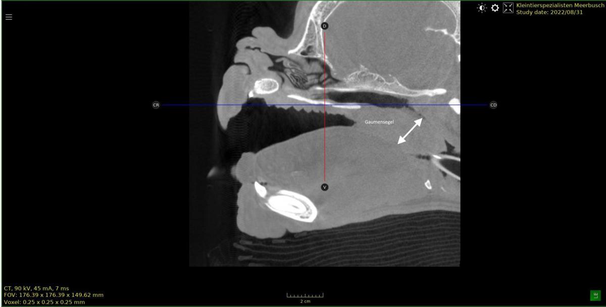
Einkürzen, ausdünnen und falten des Gaumensegels. (folded flap palatoplastie)
Eine sehr frühe Durchführung (ab dem sechsten Lebensmonat) kann gravierende Folgeschäden im Bereich des Kehlkopfes und des Magens vermeiden.Entfernung der Larynxtaschen
Tonsillektomie (Entfernung der Mandeln)
Versorgung einer Hiatus Hernie als Folge eines brachycephalen Syndroms
Volumenreduzierung von Zunge und Rachen durch Radiofrequenzchirurgie (Celon, Olympus)




